Циркониевые коронки на импланты
Что такое циркониевая коронка на имплант
Циркониевая коронка на имплант — это искусственный зуб из диоксида циркония. Её ставят на абатмент, который соединяется непосредственно с имплантом, вживлённым в кость.
Диоксид циркония — материал, который выдерживает большие нагрузки, поэтому коронки из него ставят чаще на жевательные зубы. Он не раздражает десну, редко вызывает аллергию и позволяет десневому краю оставаться ровным и здоровым.
Цирконий ценят не только за прочность. Он позволяет добиться не просто цвета, а прозрачности, характерной для живой эмали. В сочетании с цифровым моделированием коронка копирует соседние зубы — по форме, контуру, посадке. Это даёт и комфорт при жевании, и естественный вид.
Цифровые технологии и гарантии
Мы работаем с цифровыми технологиями — CAD/CAM системы позволяют делать абатменты и коронки точно под конкретного человека, под его анатомию. Все детали, включая план лечения и гарантии, заранее фиксируем в договоре.
Виды циркониевых коронок на импланты
Монолитные циркониевые коронки
Полностью делаются из диоксида циркония — никакой керамической облицовки сверху, только сам материал. Достаточно прочные, чтобы справляться с нагрузкой при пережевывании пищи. Чаще всего выбирают для жевательных зубов, на которые приходится основное давление.
Циркониевые коронки с керамическим покрытием
Конструкция комбинированная. Внутри — прочный циркониевый каркас, снаружи — слой керамики, который отвечает за внешний вид. За счет этого хорошо подходят для передних зубов, где важна эстетика.
Разница между ними в основном сводится к тому, что важнее для конкретного зуба — прочность или эстетика.
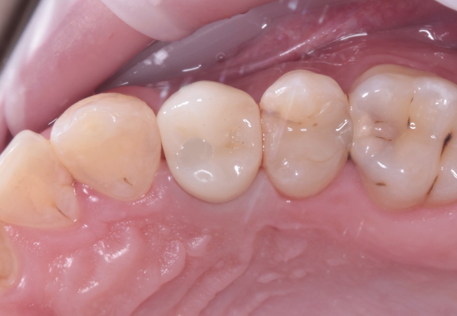
Наши работы
Коронка из диоксида циркония на имплантате
В несколько посещений
Показания к установке циркониевой коронки на имплант
Отсутствие зуба или требуется восстановление. Имплант — оптимальное решение по сроку службы и надёжности.
Полная или частичная адентия, когда съёмные протезы неудобны или плохо фиксируются.
Зона улыбки, где важна естественная эстетика и гармония цвета зубов.
Жевательные зубы, где нужна максимальная прочность конструкции.
Противопоказания и временные ограничения
Воспаления в полости рта — требуется санация.
Дефицит костной ткани — показана костная пластика.
Тяжёлые хронические болезни — только после консультации с врачом.
Острые инфекции — до стабилизации состояния.
Преимущества циркониевых коронок на имплантах
Эстетика
По цвету такие коронки практически не отличить от настоящих зубов. Материал передаёт прозрачность живой эмали.
Прочность и долговечность
Выдерживает высокие жевательные нагрузки. Срок службы — много лет без повреждений.
Отсутствие металла
Десна остаётся здоровой, не возникает раздражений и аллергических реакций. Нет серого ободка у линии десны.
Точная посадка
Абатмент и коронка идеально совмещаются благодаря цифровому расчёту и CAD/CAM технологиям.
Биосовместимость
Материал безопасен, не вызывает воспаления и не раздражает мягкие ткани.
Недостатки циркониевых коронок
Стоимость
Циркониевые коронки дороже металлокерамических. Разница обусловлена качеством материала и методом изготовления.
Требования к точности
Установка требует аккуратной работы врача и лаборатории для идеальной посадки.
Особенности ремонта
Восстановление повреждённой коронки сложнее, чем у металлокерамики.
Сравнение циркониевых коронок с другими материалами
| Критерий | Цирконий | Металлокерамика |
|---|---|---|
| Прочность | Высокая, не трескается под нагрузкой и подходит даже для жевательных зубов | Средняя, со временем может скалываться |
| Эстетика | Высокая, десна выглядит естественно | Средняя, есть металлический ободок |
| Влияние на десну | Не раздражает мягкие ткани, снижая риск воспалений | Может давать серый оттенок |
| Срок службы | 15+ лет | 8-10 лет |
| Рекомендуемая зона | Все зубы | Жевательные |
Цирконий — универсальное решение для любой зоны. Для передних зубов также хороша керамика, для жевательных — цирконий оптимален по прочности.
Керамические коронки
Керамика — прозрачнее, естественнее, лучше для передних зубов.
Фронтальная зона, только для низкой нагрузки.
Этапы установки циркониевой коронки на имплант
Осмотр и диагностика
30-40 минВрач осматривает состояние импланта, десны и соседних зубов. Оценивает готовность к протезированию.
3D-сканирование и планирование
20-30 минЦифровое сканирование для точного расчёта. На модели подбирают коронку по размеру и форме, чтобы она идеально легла на абатмент и вписалась в соседние зубы.
Изготовление в зуботехнической лаборатории
7-14 днейПо цифровым данным моделируют коронку из диоксида циркония с помощью CAD/CAM технологии.
Примерка и коррекция
20-30 минВрач примеряет готовую конструкцию, проверяет смыкание с соседними зубами, при необходимости корректирует.
Фиксация коронки
30-40 минКоронка фиксируется на абатмент с помощью специального цемента или винтового соединения. Врач следит, чтобы посадка была плотной, а контакт с десной — мягким и естественным.
В УлыбкаPRO все этапы проводятся с использованием цифрового оборудования и современного анестезиологического обеспечения. Это гарантирует точность установки, комфорт пациента и долгий срок службы коронки.
Срок службы циркониевой коронки
Факторы долговечности
Качество установки и точность посадки
Ежедневная гигиена полости рта
Пищевые привычки (избегать перегрузок)
Регулярные осмотры раз в 6 месяцев
Отказ от вредных привычек (грызть ручки, открывать зубами упаковки)
Рекомендации по уходу за циркониевой коронкой
Чистите зубы мягкой щёткой дважды в день, используйте зубную нить или ирригатор
Контрольные осмотры — каждые 6 месяцев. Врач оценивает состояние импланта, коронки, окружающих тканей
Не грызите твердые предметы, не открывайте зубами упаковки. Берегите коронки от перегрузок
Заметили трещину, дискомфорт, смещение — обратитесь к врачу. Чем раньше, тем лучше
Что входит в стоимость
Входит в стоимость
- Консультация врача
- Диагностика и компьютерное моделирование
- Изготовление циркониевой коронки
- Индивидуальный абатмент (при необходимости)
- Фиксация коронки на имплант
- Контрольные осмотры после установки
Оплачивается отдельно
- Установка импланта (если ещё не установлен)
- Костная пластика (при дефиците костной ткани)
- Лечение сопутствующих заболеваний полости рта
- Профессиональная гигиена
В УлыбкаPRO стоимость обсуждается заранее — в смете учитываются все этапы: от консультации до контрольных визитов. Пациент видит полную картину до начала лечения.
От чего зависит цена
Система импланта
СильноБренд и производитель импланта
Тип коронки
СильноМонолитная / с керамическим покрытием
Необходимость индивидуального абатмента
СреднеТребуется / не требуется
Сложность клинического случая
СреднеАнатомические особенности, состояние десны
Лечение без финансовых забот
Когда предстоит серьёзное лечение, вопрос денег часто висит в воздухе и мешает спокойно дышать. Выход есть: беспроцентная рассрочка, которая оформляется прямо в клинике.
Никаких лишних звонков и походов по банкам — только вы, договор и чёткие гарантии на всё, что сделает хирург.
Запишитесь на консультацию
Приходите — сделаем снимок, подберём оптимальный вариант коронки под ваш случай, рассчитаем точную стоимость. Все этапы и гарантии зафиксируем в договоре.

