УлыбкаPRO
УлыбкаPRO
Цифровая стоматология

Зубные протезы, которые можно снимать

Съемные протезы

Нет своих зубов? Восстановите улыбку и возможность жевать с помощью удобных и доступных съёмных протезов

Съемные протезы

Съёмные протезы — это когда вы можете сами снимать и надевать конструкцию. Звучит просто? А на деле — это проверенное решение для тех, кто потерял несколько зубов или вообще все. И не обязательно быть пенсионером, чтобы их носить.

Современные протезы — не те "вставные челюсти", что показывают в комедиях. Они держатся крепко, выглядят естественно и позволяют нормально жевать. А главное — это самый доступный способ вернуть функцию и улыбку.

Как это выглядит на практике

Отзывы пациентов

Все отзывы
А

Аллан Сидоров

Оразова Лейли Юсуповна удалила мне все 4 зуба мудрости за несколько приемов. Доктор внимательный и профессиональный, процедуры прошли быстро и безболезненно. Даже укол обезболивающий я почти не почувствовал. По завершении процедур доктор меня проинструктировал и все объяснил. Мне очень понравилось, теперь только к этому врачу буду ходить. Большое спасибо, Лейли Юсуповна!

05.05.2024

А

Аминат А.

Обратилась в клинику “УлыбкаPRO” по поводу удаления зуба мудрости. Благодарна врачу Хамидовой Марине Мовсуровне за бережное и внимательное отношение. За время приёма объясняла что будет делать и для чего. После окончания лично дала рекомендации. Довольна качественно выполненной работой, после посещения клиники остались только положительные эмоции, всё прошло быстро и в комфортной обстановке. Буду рекомендовать родным и друзьям)

05.05.2024

К

Кристина Ш.

Больше года хожу в клинику прямо в моем доме! Самый первый поход был с острой болью - администратор нашла подходящее ближайшее окошко и оперативно приняли, теперь хожу регулярно к терапевту Марине Алексеевне, все спокойно, терапевт рассказывает о своих действиях, все показывают на снимках и фотографиях, Так же удаляла первый зуб мудрости у хирурга, все прошло без последствий, на очереди остальные Не первый раз прихожу на проф гигиену к Черепанову Антону, довольна, В целом довольна клиникой, ознакомлению с планами лечения и стоимостью услуг. Отдельно отмечу работу администраторов - всегда своевременно отвечают и помогают найти окна для записи. В день рождения был оооочень приятный бонус на услуги клиники ))

05.05.2024

М

Мадина А.

Доктор Марина Хамидова - лучшее, что может случиться с вашими зубами мудрости, которые показаны к удалению. Чуткая, трепетная и профессиональная работа. При всей моей боязни всех хирургических вмешательств, все 4 мудрых зуба доктор удалила абсолютно безболезненно и ,главное, быстро. Реабилитация также прошла абсолютно мягко, на следующий же день я забыла, что вовсе проходила через удаление. Очень рекомендую данного врача!

05.05.2024

М

Максим Кузнецов

В клинике успешно пролечили все зубы и сделали чистку жене, и я сам хожу лечусь. У меня был сложный зуб, который перелечивали - в нем было 2 обломка сверла, и другие проблемы - в итоге всё отлично. Плюс отлично восстановили 2 зуба, пролечили кариесы на других. Клиника удобно расположена - рядом парковка и метро, есть личный кабинет, где можно записаться, цены приятные при высоком уровне проводимых работ.

05.05.2024

А

Александр

13,09,2025г, удалено 8 зубов на нижней челюсти, установлено 6 имплантов. 11,02,2026г, удалено 9 зубов на верхней челюсти, установлено 6 имплантов. Всё профессионально, чётко, в работе специалисты понимают дру друга с полуслова, это очень успокаивает в процессе операции. Огромное спасибо хирургу Благушиной Наталье Алексеевне, координатору по работе с клиентами Светлане, всему коллективу клиники! Благодарю Вас Всех!!!

20.02.2026

Виды съёмных протезов

Полные съёмные протезы

Акрил
Доступный вариант
Используются при полной утрате зубов на одной или обеих челюстях. Полностью заменяют весь зубной ряд и восстанавливают жевательную функцию и эстетику.
Нейлон
Гипоаллергенный
Мягкий и эластичный материал, комфортен в носке, но требует особого ухода.

Частичные съёмные протезы

Акрил с кламмерами
Стандарт
Применяются при частичной утрате зубов, фиксируются на оставшиеся зубы с помощью металлических креплений.
Нейлон
Эстетичные
Незаметные крепления, эластичный материал.
Акри-фри (Acry-Free)
Без мономера
Полупрозрачный, не вызывает аллергии, более прочный чем нейлон.

Бюгельные протезы

С кламмерами
Классика
Металлический каркас обеспечивает надёжную фиксацию и правильное распределение жевательной нагрузки.
С замками (аттачментами)
Эстетичные
Крепления спрятаны внутри, незаметны при улыбке.
С шинирующим элементом
При пародонтозе
Дополнительно укрепляет подвижные зубы.

Наши работы

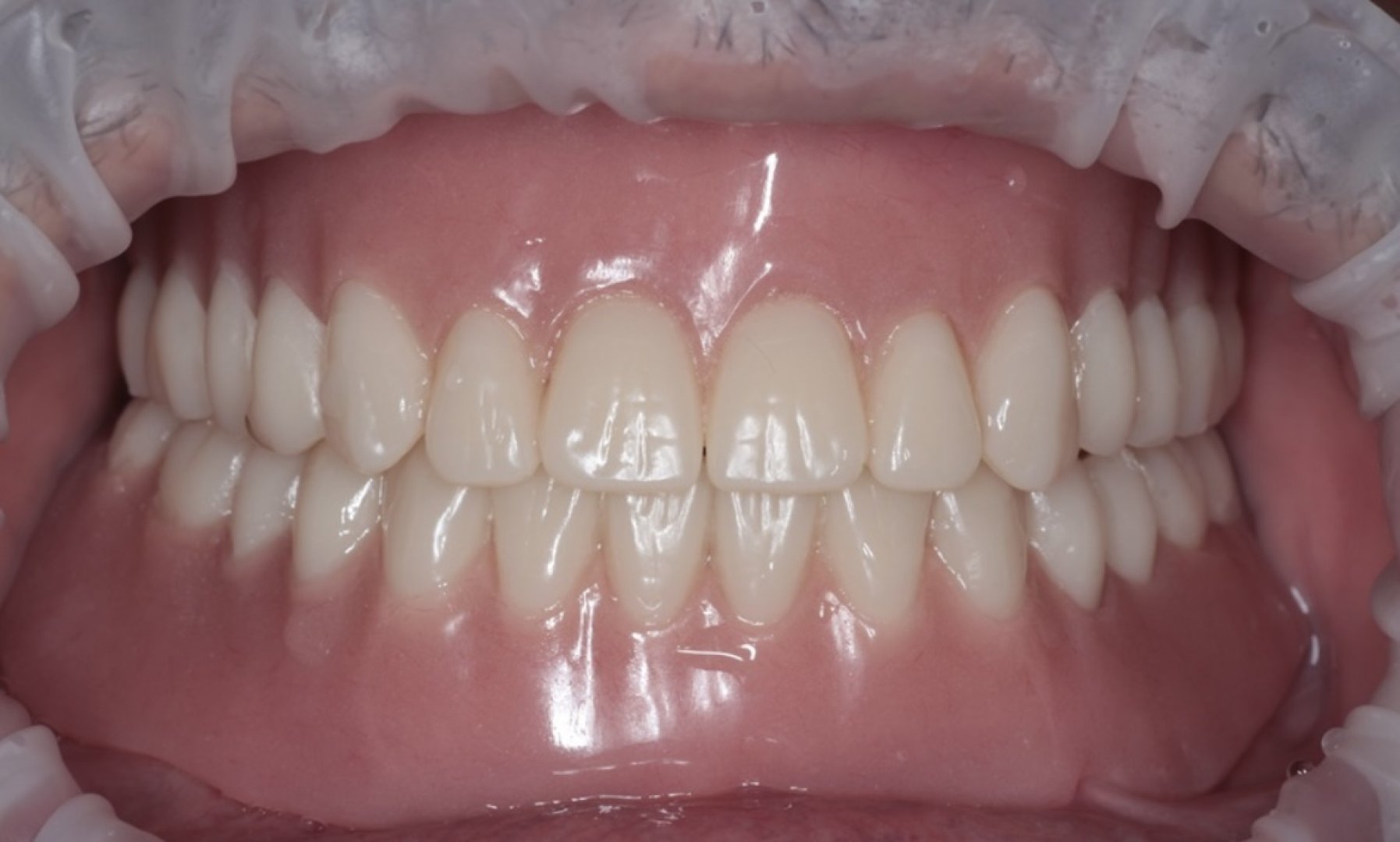
Акриловый протез

Сняты оттиски, определена ЦСЧ, подобран цвет зубов, изготовлены конструкции

Подробнее →
Акриловый протез
75 900 ₽

Почему съёмные протезы до сих пор актуальны?

Импланты — это круто. Но если бюджет ограничен, костной ткани маловато, или есть противопоказания к операции — съёмный протез спасает ситуацию. Быстро, недорого, без хирургии.

Да, их нужно снимать на ночь. Да, привыкание занимает пару недель. Но зато вы сразу получаете зубы, а не ждёте полгода приживления имплантов.

Преимущества съёмных протезов

01

Доступность

Самый бюджетный вариант по сравнению с имплантами и мостами — от 18 000₽ за полный протез

02

Простота установки

Не требуется операция. От первого визита до готового протеза — 1-2 недели

03

Универсальность

Подходят при частичной и полной утрате зубов, можно использовать на обеих челюстях

04

Лёгкость замены

Если протез сломался или износился — легко починить в лаборатории или заменить на новый

05

Без хирургии

Не нужны операции, анестезия, период приживления — подходит даже тем, кому нельзя импланты

Что нужно учитывать

Регулярный уход

Протезы нужно снимать и чистить каждый день, иначе накапливаются бактерии

Фиксация слабее имплантов

Особенно на нижней челюсти — может потребоваться фиксирующий крем

Период привыкания

Первые 1-2 недели — непривычные ощущения, нарушение дикции, усиленное слюноотделение

Возможно раздражение дёсен

При неправильной подгонке или недостаточной гигиене может возникать натирание

Сравнение типов съёмных протезов

КритерийАкриловыйБюгельный
Ценаот 18 000₽от 45 000₽
ЭстетикаХорошаяХорошая (зависит от типа креплений)
ПрочностьВысокаяОчень высокая
Срок службы5-7 лет7-10 лет
ФиксацияХорошаяОтличная
АллергичностьВозможна (мономер)Возможна (металл)
РемонтопригодностьЛегкоСредне

Верхняя или нижняя челюсть — есть разница?

Верхняя челюсть

Фиксация лучше. Протез прилегает к нёбу и создаёт эффект присасывания — держится крепко даже без дополнительных кремов. Площадь контакта большая, поэтому риск выпадения минимален.

Нижняя челюсть

Фиксация сложнее. Челюсть подвижная, площадь контакта меньше — протез может "гулять" при разговоре или жевании. Часто нужен фиксирующий крем. Зато можно использовать импланты как опору — получится условно-съёмный вариант с кнопочной фиксацией.

Этапы изготовления и установки

1

Первичная консультация

30-45 мин

Врач-ортопед осматривает полость рта, делает снимки и диагностические слепки. Определяется состояние дёсен и оставшихся зубов, обсуждается тип протеза.

2

Изготовление модели

3-7 дней

На основе снятых слепков и фотографий зубного ряда зубной техник изготавливает гипсовую модель и восковой прототип будущего протеза.

3

Примерка

20-30 мин

После изготовления протеза проводится примерка. Врач проверяет, насколько удобно пациенту, как смыкаются зубы. При необходимости вносятся коррективы в форму или размеры.

4

Окончательная установка

30-40 мин

После всех корректировок протез устанавливается. Пациент получает инструкции по уходу, рекомендации по адаптации и правилам ношения.

5

Контрольные осмотры

15-20 мин

Через 1-2 недели, затем через месяц и далее каждые 6 месяцев. Врач оценивает состояние протеза, проводит коррекцию при необходимости, контролирует состояние слизистой.

Сроки изготовления

1-2 недели

Уход за съёмными протезами

Снимать на ночь и хранить в специальном растворе или воде

Чистить протез 2 раза в день специальной щёткой и пастой

Полоскать протез после каждого приёма пищи

Не использовать абразивные средства — царапают поверхность

Раз в неделю замачивать в дезинфицирующих таблетках

Не ронять — акрил хрупкий при ударе

Приходить на профосмотр каждые 6 месяцев

При появлении трещин или натирании — сразу к врачу, не пытаться починить самостоятельно

Что входит в стоимость протезирования

Входит в стоимость

  • Консультация ортопеда
  • Снятие слепков
  • Изготовление восковой модели
  • Примерка и коррекция
  • Сам протез
  • Инструкции по уходу

Оплачивается отдельно

  • Панорамный снимок или КТ (если нет своего)
  • Лечение оставшихся зубов (если требуется)
  • Удаление зубов под протезом (если нужно)
  • Фиксирующий крем (по желанию)
  • Перебазировка через 6-12 месяцев (коррекция посадки)

Кто делает протезы в УлыбкаPRO

У нас работают квалифицированные врачи-ортопеды, которые проведут полную консультацию, ответят на все ваши вопросы и установят протез качественно и надёжно.

Экспертная команда: кандидаты наук, преподаватели и выпускники престижного Первого МГМУ имени И.М. Сеченова (Сеченовского Университета), члены международных ассоциаций.

Почему протезирование делают в УлыбкаPRO

Опытные ортопеды

Кандидаты наук, выпускники Сеченовского Университета, преподаватели, члены международных ассоциаций

Своя зуботехническая лаборатория

Не отдаём работу на сторону — контролируем качество на каждом этапе, сроки изготовления короче

Честные цены

Никаких скрытых доплат. Озвучили цену — она не изменится. Рассрочка до 12 месяцев без %

2 минуты от метро Автозаводская

Работаем без выходных 9:00-21:00. Удобная парковка

Регулярные акции

Следите за спецпредложениями на сайте — часто бывают скидки на протезирование

Запишитесь на консультацию ортопеда

Покажем варианты протезов, снимем слепки, рассчитаем точную стоимость. Можно прийти с готовыми снимками или сделать КТ у нас.

Съёмные протезы — это надёжный и доступный способ восстановления утраченных зубов. В стоматологической клинике УлыбкаPRO в Москве вы можете установить современные съёмные протезы, которые обеспечат комфорт и эстетичный вид.

Кроме того, в нашей клинике УлыбкаPRO регулярно проводятся акции, благодаря которым вы можете пройти съёмное протезирование по привлекательной цене!

Протезирование зубов позволяет вернуть радость от полноценного приёма пищи и уверенность в себе.