УлыбкаPRO
УлыбкаPRO
Цифровая стоматология

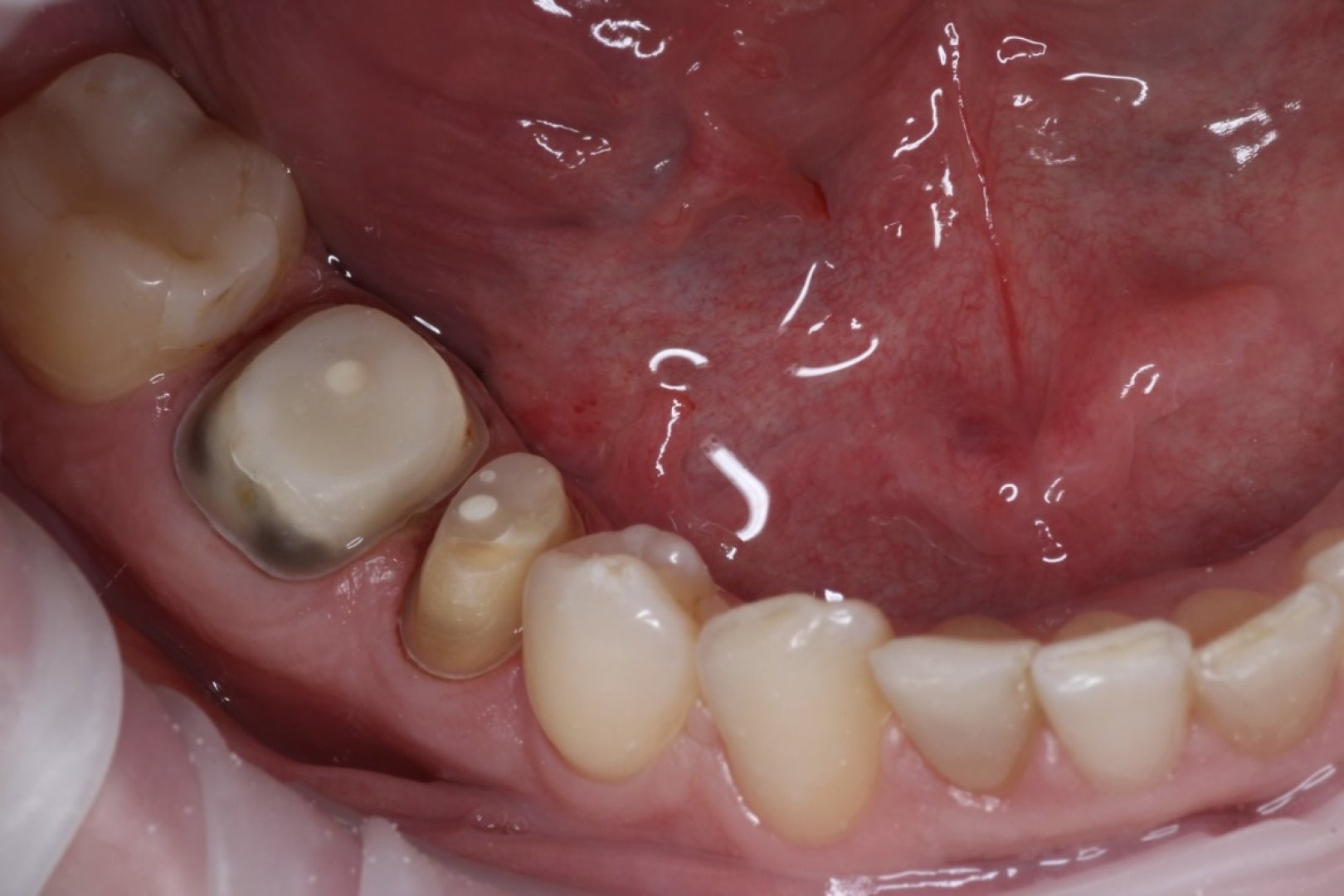
Коронки на зубы 45, 46

Менее недели

Результат лечения

До

До

Коронки на зубы 45, 46 _before
После

После

Коронки на зубы 45, 46 _after

Стоимость лечения

Циркониевая коронка

44 900 ₽

Записаться на приём

Онлайн или по телефону

Беспроцентная рассрочка

Доступна рассрочка на лечение