УлыбкаPRO
УлыбкаPRO
Цифровая стоматология

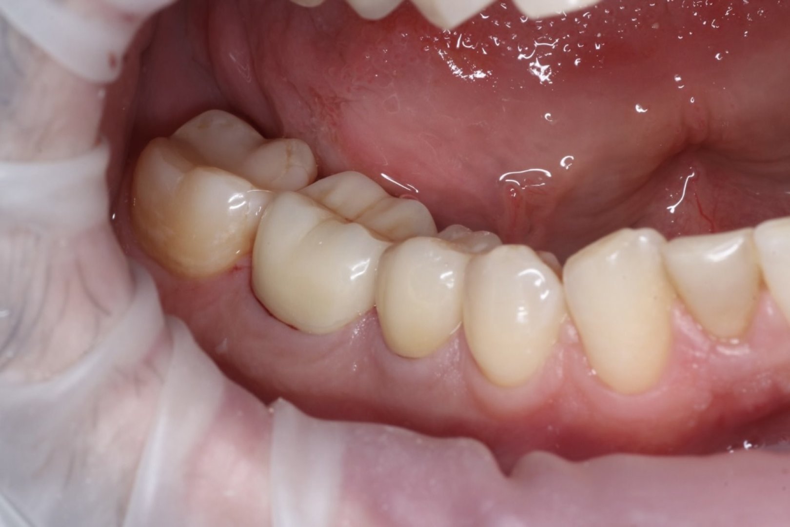
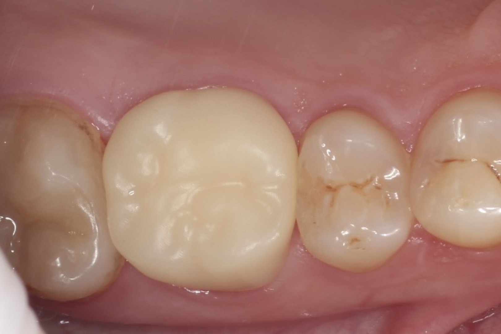
Коронка из диоксида циркония на имплантате

В несколько посещений

Результат лечения

До

До

Коронка из диоксида циркония на имплантате_before
После

После

Коронка из диоксида циркония на имплантате_after

Стоимость лечения

Циркониевая коронка

44 900 ₽

Записаться на приём

Онлайн или по телефону

Беспроцентная рассрочка

Доступна рассрочка на лечение