УлыбкаPRO
УлыбкаPRO
Цифровая стоматология

Полное эстетическое преображение зубов винирами E-max

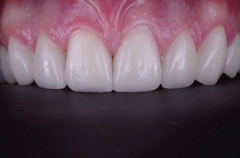
Создана естественная и гармоничная улыбка. Керамические виниры E-max полностью имитируют оптические свойства натуральной эмали (прозрачность, блеск, глубину цвета).

Результат лечения

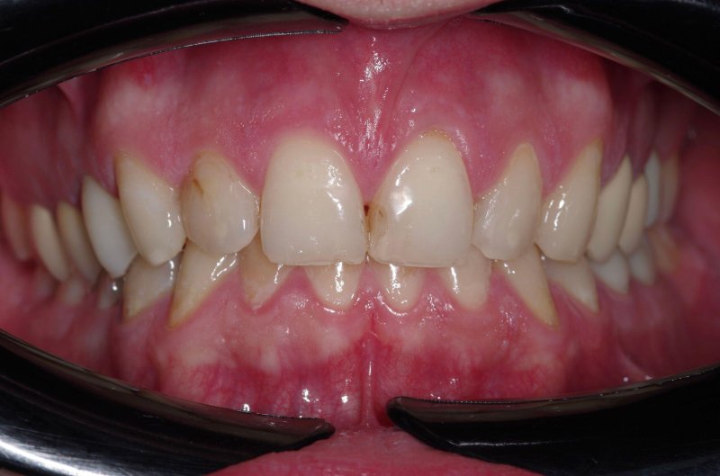
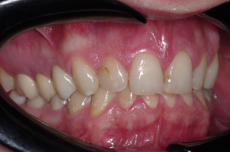
До

До

keramicheskie-viniri-foto-do-posle-1
После

После

keramicheskie-viniri-foto-do-posle-4

Проблема пациента

Эстетические несовершенства передних зубов на верхней и нижней челюсти (изменение цвета, сколы, трещины, неправильная форма или размер), нарушающие гармонию улыбки и вызывающие неуверенность.

Этапы лечения

1

Диагностика и планирование

Проведение цифрового моделирования будущей улыбки (DSD) для создания точного дизайна виниров с учетом индивидуальных особенностей лица пациента.

2

Препарирование

Минимальное и щадящее обтачивание внешней поверхности передних зубов на верхней и нижней челюсти под установку керамических пластинок.

3

Изготовление и фиксация

Снятие слепков и создание виниров из высокоэстетичной прессованной керамики E-max в зуботехнической лаборатории. Фиксация готовых конструкций на постоянный цемент.

Результат

Создана безупречная, естественная и гармоничная улыбка. Керамические виниры E-max полностью имитируют оптические свойства натуральной эмали (прозрачность, блеск, глубину цвета). Восстановлена анатомически правильная форма нескольких передних зубов на обеих челюстях, что обеспечило долговечный и высокоэстетичный результат.

Дополнительные фото

keramicheskie-viniri-foto-do-posle-8
keramicheskie-viniri-foto-do-posle-10
keramicheskie-viniri-foto-do-posle-9
keramicheskie-viniri-foto-do-posle-7
keramicheskie-viniri-foto-do-posle-6
keramicheskie-viniri-foto-do-posle-1
keramicheskie-viniri-foto-do-posle-2

Стоимость лечения

Винир E-max

52 900 ₽

Записаться на приём

Онлайн или по телефону

Беспроцентная рассрочка

Доступна рассрочка на лечение